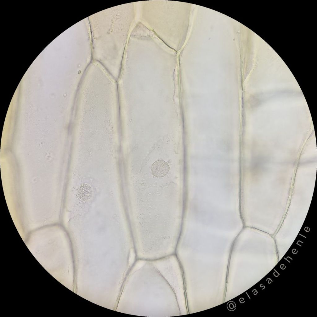
Uno de los objetivos de El asa de Henle cómo proyecto de divulgación científica, es la innovación y búsqueda de nuevas experiencias prácticas de histología que resultan más ricas en contenido y motivadoras para los estudiantes, que las más tradicionales. En este marco, vamos a conversar sobre la epidermis abaxial y la epidermis de la catáfila de cebolla. Si bien la epidermis de catáfila de cebolla es un clásico con su propio valor, aquí te explicamos por qué pensamos que la epidermis abaxial aporta un nivel de interés y comprensión aún más profundo.
La epidermis abaxial permite observar las típicas células epidérmicas de diferentes formas dependiendo de la especie, núcleos y paredes celulares, cloroplastos y la estructura de los estomas, así cómo la presencia o no de células anexas. Es posible también, identificar estomas abiertos y cerrados, y comprender su papel en el intercambio de gases, proporcionando un conocimiento más profundo de la biología vegetal. Por otro lado, en la epidermis de la catáfila de cebolla, se observan únicamente células epidérmicas alargadas, paredes celulares, núcleos y es “siempre lo mismo”, y hay mucho más para observar en el microscopio y más interesante! Podemos también enriquecer la experiencia si en lugar de hacer un preparado de epidermis de catáfila, también realizamos uno de la epidermis de las hojas de la cebolla o si utilizamos cebolla blanca y colorada.
Con esto, no digo que no se deba realizar la clásica observación de epidermis de catáfila de cebolla, pero podemos enriquecer aún más esta experiencia si los estudiantes trabajan en pequeños proyectos, comparando la epidermis abaxial con otras epidermis, como la adaxial o la de cebolla, así cómo identificar diferencias y similitudes en la estructura de las distintas muestras y su fundamentación. Creemos que estas experiencias proporcionan un entendimiento más profundo y contextualizado de la biología vegetal, brindando a los estudiantes una apreciación más rica y significativa del mundo microscópico.
Seleccionamos este preparado como ejemplo, pero hay muchos más que iremos conversando en los próximos días. En nuestra web encontrarás una variedad de experiencias prácticas para realizar en el aula. ¿Qué epidermis te parece más interesante a tí? ¡Cuéntanos tu experiencia cómo estudiante de secundaria, como profe, o simplemente cómo apasionado por la microscopía!
Síguenos en




Deja un comentario